


Plataforma de imagem multimodal otimizada para o segmento posterior. O SPECTRALIS uma plataforma de imagem oftalmológica com design modular e atualizável.
Esta plataforma permite que os médicos configurem cada SPECTRALIS para o fluxo de trabalho de diagnóstico específico do consultório ou clínica.

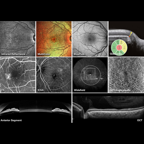
As opções de imagem multimodal fazem do spectralis uma plataforma exclusiva para imagens de alta resolução e definição, com velocidade variável 20,85 e 125 Khz, Óptica confocal, TruTrack Active Eye Tracking ™, redução de ruído (desvio padrão de 1 micra), visualização das 10 camadas da retina, módulos Glaucoma Module Premium Edition, Multicolor, OCTA, Nsite, Campo Amplo 55 em OCT ou 102 graus para Angiografia e ICG.
Entregam um acompanhamento seguro de todas as patologias da retina e uma prática personalizada.

Spectralis
Plataforma de Imagem Multimodal Otimizada para o Segmento Posterior
O SPECTRALIS® é uma plataforma de imagem oftálmica com design modular e atualizável. Essa plataforma permite que os clínicos configurem cada SPECTRALIS de acordo com o fluxo de trabalho diagnóstico específico da prática ou clínica.
As opções de imagem multimodal incluem: OCT, múltiplas modalidades de imagem de fundo com laser de varredura, imagens de campo amplo e ultra-amplo, angiografia com laser de varredura e angiografia OCT.
O DNA do Spectralis :
A alta definição e a alta resolução são parte do DNA do Spectralis
Plataforma Atualizável
O SPECTRALIS® é uma plataforma de imagem verdadeiramente flexível e atualizável. Personalize seu SPECTRALIS de acordo com suas necessidades individuais, com a confiança de que seu OCT evoluirá juntamente com sua clínica. À medida que novas tecnologias se tornam disponíveis, basta adicionar novas modalidades de imagem ao seu SPECTRALIS, fornecendo informações adicionais para aprimorar a tomada de decisões clínicas e preservando os dados do paciente para um acompanhamento preciso.

Oftalmoscopia a Laser de Varredura Confocal
O oftalmoscópio a laser de varredura confocal (cSLO) na plataforma SPECTRALIS® é uma tecnologia inovadora para examinar e obter imagens da retina e de outras estruturas oculares.
Combinando a seletividade da luz laser com a resolução precisa da varredura confocal, o cSLO oferece detalhes e clareza de imagem que não estão disponíveis na fotografia de fundo de olho.
A tecnologia cSLO não apenas oferece documentação dos achados clínicos, mas também frequentemente destaca detalhes diagnósticos críticos que não são visíveis na oftalmoscopia clínica tradicional. Como a imagem cSLO minimiza os efeitos da dispersão da luz, pode ser utilizada de forma eficaz mesmo em pacientes com catarata.

Diagnóstico Multimodal
A combinação única de modalidades de imagem fornece as informações adicionais necessárias para tomar decisões clínicas confiantes. Utilize diferentes técnicas de imagem, tanto estabelecidas quanto novas, simultaneamente, para aprimorar sua compreensão de diversas patologias.

TruTrack Active Eye Tracking
O TruTrack Active Eye Tracking é uma tecnologia de imagem patenteada que utiliza dois feixes de luz simultaneamente para rastrear e capturar imagens do olho. Ao rastrear ativamente o olho em tempo real durante a captura de imagens, o sistema mitiga os efeitos do movimento ocular, resultando em dados de varredura OCT precisos.
Os benefícios clínicos adicionais do TruTrack Active Eye Tracking incluem rastreamento automatizado preciso para acompanhamento da retina, reprodutibilidade na medição da espessura retinal de até 1 mícron e excelente qualidade de imagem ao longo de toda a varredura do volume. Esse desempenho superior permite um manejo mais eficaz dos pacientes, mesmo em casos desafiadores com alterações muito pequenas ao longo do tempo.

AutoRescan
Utilizando a imagem de fundo do SPECTRALIS® como um mapa, a função AutoRescan posiciona automaticamente as varreduras de acompanhamento no local exato a cada visita. O posicionamento preciso e automático das varreduras de acompanhamento é importante para otimizar o fluxo de pacientes e para o reconhecimento confiável das pequenas mudanças estruturais, que são essenciais para o manejo eficaz de várias condições oftálmicas.
Estudos demonstraram que o SPECTRALIS com a tecnologia AutoRescan pode medir de forma confiável alterações na espessura da retina tão pequenas quanto 1 mícra.

Redução de Ruído
A Redução de Ruído SPECTRALIS® é uma tecnologia proprietária que remove o ruído presente nas imagens de OCT e laser de varredura. Ao capturar várias imagens no exato mesmo local, essa tecnologia é capaz de diferenciar as informações estruturais do ruído e, em seguida, removê-lo de forma eficaz.
As imagens resultantes, desde o vítreo até a coróide e por todo o polo posterior, possuem alto contraste e detalhes excepcionais. A tecnologia de Redução de Ruído SPECTRALIS é alimentada pelo TruTrack Active Eye Tracking, que permite a captura precisa de várias imagens no mesmo ponto anatômico – o elemento crítico para uma redução de ruído eficaz.

Visualização de 10 Camadas
O SPECTRALIS® oferece imagens OCT de alta resolução para visualização de 10 camadas da retina, ajudando você a descrever e identificar com confiança as patologias.

* Os Módulos do Spectralis:
1.Modulo:Shift
Tecnologia SHIFT
A SHIFT é uma tecnologia exclusiva do SPECTRALIS® que permite alternar entre diferentes velocidades de varredura OCT, encontrando o equilíbrio ideal entre qualidade e fluxo de trabalho, tanto para o operador quanto para o clínico, a fim de proporcionar um atendimento personalizado ao paciente. A SHIFT, combinada com outras tecnologias essenciais do SPECTRALIS, otimiza o desempenho ao oferecer diferentes velocidades de varredura para alcançar melhores resultados em termos de velocidade, qualidade da imagem, nitidez e detalhes em diversas aplicações.
As configurações padrão garantem um fluxo de trabalho eficiente, enquanto ainda há flexibilidade para ajustar a velocidade de varredura, se necessário.

Velocidade de Varredura de 20 kHz
Às vezes, mais devagar é melhor.
A velocidade de varredura de 20 kHz permite a obtenção de imagens clinicamente significativas, mesmo nos casos mais desafiadores. Devido à exposição prolongada à luz e ao melhor índice de sinal-ruído, o SPECTRALIS® oferece suporte ao fornecer imagens utilizáveis, mesmo em olhos com opacidades.
Em casos de catarata, edema corneal ou flutuantes densos, a tecnologia SHIFT ajuda a alcançar uma qualidade de imagem excepcional, proporcionando uma visão diagnóstica das estruturas do segmento posterior, onde outros dispositivos ou velocidades de varredura padrão não conseguem oferecer qualidade suficiente para proporcionar um atendimento personalizado aos pacientes.

Velocidade de Varredura de 85 kHz
A velocidade de varredura de 85 kHz permite a captura de imagens com alta resolução e rapidez, ideal para exames em larga escala e quando é necessário um fluxo de trabalho eficiente. Essa velocidade de varredura otimiza o tempo de exame, ao mesmo tempo em que mantém uma excelente qualidade de imagem, facilitando a análise precisa das estruturas oculares.

Velocidade de Varredura de 125 kHz
Às vezes, mais rápido é melhor.
A velocidade de varredura de 125 kHz oferece imagens ainda mais rápidas, mantendo alta qualidade e precisão. Ideal para exames em tempo reduzido, essa velocidade é especialmente útil quando é necessário capturar uma grande quantidade de imagens de forma eficiente, sem comprometer a clareza e o detalhe, proporcionando um fluxo de trabalho mais ágil.

2.Módulo de Glaucoma Edição Premium (GMPE)
Diagnóstico de glaucom a de próxima geração
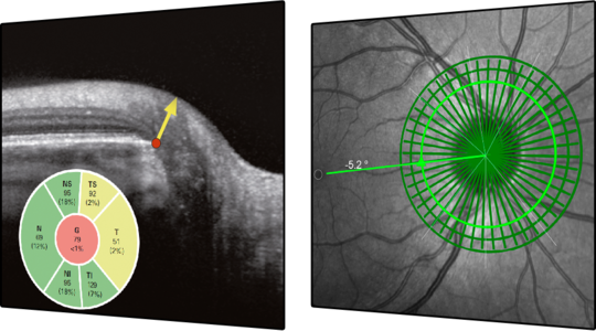
A Edição Premium do Módulo de Glaucoma SPECTRALIS® combina o exclusivo Sistema de Posicionamento Anatômico (APS) com uma série de padrões de varredura únicos para avaliar o disco óptico, a camada de fibras nervosas da retina e a camada de células ganglionares da mácula. Esses padrões de varredura baseados no APS são automaticamente ajustados aos marcos anatômicos exclusivos de cada olho e às características das finas estruturas anatômicas relevantes para o diagnóstico de glaucoma.
A Edição Premium do Módulo de Glaucoma compara os olhos dos pacientes a um banco de dados de referência de olhos normais, detectando até mesmo as pequenas variações. A precisão da função AutoRescan do SPECTRALIS permite a identificação e o monitoramento confiável de alterações estruturais ao longo das visitas, proporcionando um acompanhamento contínuo e preciso da progressão do glaucoma.

Combina o exclusivo Sistema de Posicionamento Anatômico (APS) com uma série de padrões de varredura únicos para avaliar o disco óptico, a camada de fibras nervosas da retina e a camada de células ganglionares da mácula. Esses padrões de varredura baseados no APS são automaticamente ajustados aos marcos anatômicos exclusivos de cada olho e às características das finas estruturas anatômicas relevantes para o diagnóstico de glaucoma.
A Edição Premium do Módulo de Glaucoma compara os olhos dos pacientes a um banco de dados de referência de olhos normais, detectando até mesmo as pequenas variações. A precisão da função AutoRescan do SPECTRALIS permite a identificação e o monitoramento confiável de alterações estruturais de uma visita para a outra.






3.Módulo Nsite Analytics
A janela para o cérebro – Obtenha novos insights sobre neurodegeneração
O Módulo Nsite Analytics oferece uma “janela” para o cérebro, permitindo medir tanto a projeção neuronal quanto axonal na retina, proveniente do sistema nervoso central (SNC). Ele possibilita o monitoramento de alterações na retina de pacientes com neuropatias ópticas e processos neurodegenerativos, incluindo, mas não se limitando a Esclerose Múltipla, Doença de Parkinson e Doença de Alzheimer.
O Módulo Nsite Analytics fornece uma análise abrangente da camada de fibras nervosas da retina peripapilar (RNFL), um tecido único do SNC, pois contém axônios e glia na ausência de mielina. O Nsite utiliza uma classificação por esquema de cores em seu banco de dados de referência para indicar tanto a perda axonal quanto as alterações edematosas na RNFL. O módulo também oferece análise da espessura da retina macular e da assimetria do polo posterior. As medições da espessura da camada de células ganglionares da mácula e os mapas associados indicam se as alterações observadas na mácula estão diretamente relacionadas às células ganglionares da retina.
Acompanhamento de pequenas alterações pode ser útil para tomar decisões clínicas mais informadas. O Módulo Nsite Analytics do SPECTRALIS® é capaz de monitorar pequenas alterações nas células ganglionares da retina e nos axônios, minimizando artefatos de movimento e realizando varreduras automáticas no mesmo local durante o acompanhamento.

Valor Clínico

FoBMOC: Alinhamento Automático do Eixo Fóvea-para-Centro-BMO
Estudos demonstraram que o afinamento da RNFL em pacientes com Esclerose Múltipla (EM) e histórico de neurite óptica aguda é mais provável de ser encontrado no quadrante temporal. O feixe papillomacular (PMB) pode ser o mais sensível a esse tipo de dano axonal. O FoBMOC: Alinhamento Automático do Eixo Fóvea-para-Centro-BMO orienta corretamente a anatomia para garantir a precisão na medição do PMB.

Neurite Óptica Aguda
A série de pacientes mostra um paciente com Esclerose Múltipla (EM) que teve um episódio de neurite óptica aguda. No primeiro estágio, o edema do nervo óptico não apresenta efeito aparente na espessura da camada de fibras nervosas da retina (RNFL), apesar do edema. À medida que o edema começa a diminuir na segunda consulta, é revelado o afinamento da RNFL no setor temporal. Na terceira visita, apenas dois meses depois, tanto o setor temporal quanto o feixe papillo macular revelam o dano permanente aos axônios.

Análise de Assimetria do Polo Posterior
O afinamento macular está associado ao escore expandido de incapacidade (EDSS) visual, físico, bem como a outras deficiências clínicas, podendo fornecer insights sobre a perda neuronal e neurodegeneração em pacientes com Esclerose Múltipla (EM). O Módulo Nsite Analytics oferece uma análise de assimetria do polo posterior que mede e mapeia com precisão a espessura da retina em todo o polo posterior. Uma análise única de assimetria permite a comparação dos hemisférios superior e inferior do mesmo olho e entre ambos os olhos. Combinada com as medições da camada de fibras nervosas da retina (RNFL) e a análise do PMB, a análise de assimetria do polo posterior proporciona uma visão holística da neurodegeneração retinal e das mudanças ao longo do tempo.

Acompanhamento Axonal
Acompanhando pequenas mudanças, pode ser útil para tomar decisões clínicas mais bem informadas. O SPECTRALIS® é capaz de rastrear alterações mínimas nos axônios das células ganglionares da retina, minimizando os artefatos de movimento e realizando varreduras automáticas no mesmo local durante o acompanhamento. Reduzir a variabilidade utilizando o TruTrack Active Eye Tracking é fundamental para fornecer uma mudança mensurável de apenas 1 micron.
4.Módulo Multicolor
Imagem de Fundo Multiespectral
O Módulo Multicolor é uma tecnologia avançada para a captura de imagens multiespectrais da retina. Ele permite a visualização de diferentes camadas da retina, oferecendo uma representação detalhada e multifacetada do fundo ocular. Ao usar múltiplos comprimentos de onda de luz, o módulo cria imagens que ajudam na detecção e monitoramento de várias condições oftalmológicas, como doenças da retina, glaucoma e alterações vasculares.
Imagem de Fundo Multiespectral refere-se a uma técnica de imagem que utiliza diferentes espectros de luz para capturar imagens da retina em várias faixas de comprimento de onda, oferecendo uma visão mais profunda e abrangente do estado da retina. A imagem multiespectral é especialmente útil em exames diagnósticos de doenças que afetam camadas específicas da retina, como a degeneração macular, retinopatias diabéticas, e outras condições retinianas.
Essa tecnologia proporciona uma análise mais precisa e detalhada, auxiliando os oftalmologistas no diagnóstico, no planejamento do tratamento e no acompanhamento de doenças oculares.






5. Módulo BluePeak
Autofluorescência Azul
A autofluorescência BluePeak é uma modalidade de imagem de fundo de olho por laser de varredura não invasiva que revela o estresse metabólico na retina usando a lipofuscina como indicador. As imagens do BluePeak podem revelar disfunções nas células do epitélio pigmentar da retina (RPE) e nas células fotorreceptoras, oferecendo informações diagnósticas sobre condições retinianas, como a DMAE (Degeneração Macular Relacionada à Idade) e doenças hereditárias.
Ao combinar a segmentação das camadas retinianas em OCT com o mapeamento metabólico da autofluorescência BluePeak, alterações morfológicas associadas a mudanças funcionais podem ser observadas com mais clareza. Com o software RegionFinder, as áreas doentes vistas nas imagens do BluePeak podem ser quantificadas e acompanhadas ao longo do tempo.
Imagens Diagnósticas




6.Módulo do Segmento Anterior
Imagens de Alta Resolução do Segmento Anterior
As imagens de alta resolução obtidas com o Módulo do Segmento Anterior SPECTRALIS® mostram as camadas da córnea em detalhes e auxiliam na avaliação da espessura corneana. O módulo também oferece imagens de ângulo a ângulo para uma avaliação eficiente do ângulo da câmara anterior, bem como imagens detalhadas das estruturas da esclera.



7.Módulo OCT2
Tecnologia de próxima geração em OCT
O Módulo OCT2 SPECTRALIS® é a tecnologia de OCT de próxima geração para a plataforma SPECTRALIS, oferecendo qualidade de imagem aprimorada desde o vítreo até a coroide. Com uma velocidade de varredura rápida de 85.000 Hz, ele melhora o fluxo de trabalho clínico e aumenta o conforto do paciente ao reduzir o tempo de exame.
O Módulo OCT2 é a base ideal para modalidades avançadas de imagem, como angiografia OCT e diagnóstico avançado de glaucoma. Como pode ser adicionado a qualquer sistema SPECTRALIS existente que seja passível de atualização, o Módulo OCT2 representa um investimento seguro para o futuro.




8.Módulo de Angiografia OCT
Imagem vascular não invasiva
O Módulo de Angiografia OCT SPECTRALIS® oferece imagens de OCTA de alta resolução, com uma resolução lateral de 5,7 μm/pix. Combinado com a precisão do TruTrack Active Eye Tracking, o módulo OCTA permite visualizar redes capilares finas com grande detalhe.
A resolução axial de 3,9 μm/pixel permite a segmentação de todos os quatro plexos vasculares da retina validados histologicamente. Lâminas personalizadas dentro dos plexos vasculares superficial e profundo oferecem uma avaliação clínica mais abrangente.
A ferramenta de remoção de artefatos de projeção (PAR) utiliza informações do plexo vascular superficial para remover artefatos das imagens OCTA. Isso possibilita uma visualização mais precisa da estrutura vascular e das patologias.

Campo de visão flexível




9. Módulo de Imagem de Campo Amplo
Imagem de fundo e OCT com ângulo de 55 graus
O Módulo de Imagem de Campo Amplo SPECTRALIS® oferece um campo de visão de 55 graus para todas as modalidades de imagem de fundo, incluindo MultiColor, BluePeak, reflexão infravermelha, angiografia e OCT. Capturando a mácula, a cabeça do nervo óptico e áreas além dos arcos vasculares em uma única imagem, o Módulo de Imagem de Campo Amplo facilita diagnósticos abrangentes. As imagens de laser de alta resolução e alto contraste capturadas com o Módulo de Imagem de Campo Amplo oferecem capacidades diagnósticas além das da fotografia convencional de fundo de olho.

10.Módulo de Alta Magnificação
Resolução aprimorada das microestruturas da retina
O Módulo de Alta Magnificação SPECTRALIS® consiste em uma lente de aumento altamente inovadora e software.
Ele demonstra elegantemente a capacidade da oftalmoscopia a laser de varredura confocal (cSLO) de resolver microestruturas oculares ao reduzir a dispersão da luz intraocular. Essas microestruturas oculares podem até ser visualizadas em olhos com catarata.
O contraste e a clareza das imagens obtidas com a varredura confocal destacam detalhes diagnósticos críticos que frequentemente não são visíveis usando fundosopia ou fotografia de fundo de olho.
Após uma região de interesse ser identificada usando um campo de visão maior, o usuário pode adquirir imagens ampliadas de ~8° com resolução aprimorada para investigar a área com ainda mais detalhes. Essa possibilidade pode fornecer uma visão única sobre a progressão de certas doenças da retina.
A lente de alta magnificação intercambiável (rosa fluorescente) faz parte do Módulo de Alta Magnificação.

11.Módulo Flex
Imagem diagnóstica flexível para pacientes em posição supina
O Módulo Flex para SPECTRALIS®, a plataforma multimodal de imagem diagnóstica para o segmento posterior, permite que clínicos e pesquisadores realizem exames de imagem em pacientes que não podem se apresentar em uma posição estática, com apoio para cabeça montado na mesa. Com o Módulo Flex, o SPECTRALIS é fixado em um suporte móvel com braço ajustável. Ele oferece um grau de flexibilidade que vai muito além da imagem oftálmica convencional, estendendo toda a funcionalidade multimodal diagnóstica para várias posições e ambientes de aquisição. É mais adequado para aplicações clínicas que exigem maior mobilidade.
O Módulo Flex permite realizar exames oftálmicos em pacientes em posição supina, pacientes com doenças sistêmicas, pacientes pediátricos e também para monitorar os resultados de cirurgias oculares. Utilize todas as tecnologias e modalidades de imagem do SPECTRALIS – desde OCT até imagens de fundo de olho por laser de varredura e angiografia – para realizar exames móveis sem sacrificar a qualidade da imagem.
Uma bateria de backup opcional permite 20 minutos adicionais de autonomia para evitar interrupções ao mover o dispositivo entre tomadas de energia. Isso resulta em flexibilidade de modalidades e mobilidade espacial que não pode ser alcançada com nenhum outro dispositivo. Ao mesmo tempo, ele pode ser mais estável do que dispositivos OCT manuais, fornecendo um SPECTRALIS móvel com todas as funcionalidades necessárias para exames completos e convenientes, que, por fim, melhoram o cuidado do paciente, especialmente para aqueles que não podem sentar-se de maneira ereta.

